Skip to main content

Revision Surgery

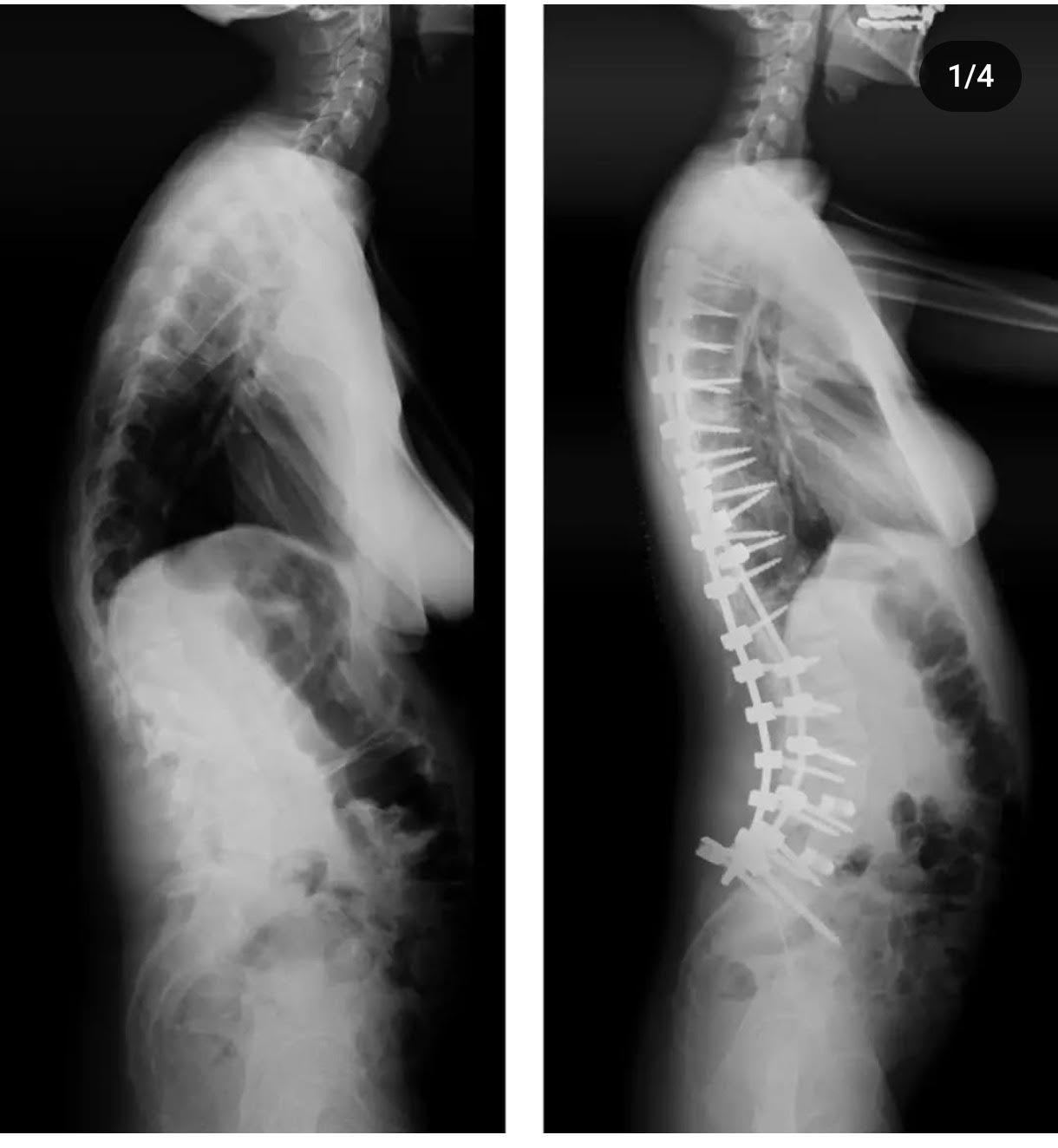
What is revision surgery?

Revision surgery refers to a second intervention on the spine, performed when a previous surgery has not given the expected results or has generated complications.

It is common for patients who have already undergone surgery to seek a second opinion due to their dissatisfaction with the results, either due to complications or because they have not recovered the quality of life they expected.

Some of these cases are labeled as "Failed Back Syndrome", with the feeling that there is no further possible treatment or hope for improvement.

To address these situations, it is essential to have a multidisciplinary team, perform all the necessary tests and examinations, and carefully plan a surgery that offers definitive and satisfactory results for the patient.

Revision surgery is a complex procedure that requires highly experienced surgeons specialized in this type of surgery. interventions.

If this is your case, do not hesitate to ask us for a second opinion. We will be happy to help you.

Cirugia de revisión de columna
Cirugía de revisión de columna
Cirugía de revisión de columna
Some testimonials about revision surgery

24 hours after the operation I was already standing up and 48 hours later I was going up and down stairs.

"After visiting many traumatologists and not finding a solution for my lower back pain and irradiation of the left gluteus and psoas area, which prevented me from playing sports or having a normal life because of the pain, I was recommended the Icat spine team (Dexeus).

During the first visit with the doctors, they looked at all the tests in great detail and explained to me that I had a L5-S1 spondylolisthesis that was causing the pain. After two more visits and asking for more tests, the solution was an operation and fixing the vertebra to release the nerves crushed by the vertebra. 24 hours after the operation I was already standing up and 48 hours later I was going up and down stairs. In 15 days the pain and irradiation have decreased considerably.

I still have a lot of recovery ahead of me, but I can lead a normal life without making any effort. In about 3 months I have to be 100% to be able to do sports.


In conclusion, the visit, the treatment and the professionalism were excellent. Nothing to do with other centres. For anyone who has back pain, I recommend that you visit their office and don't let the days go by thinking that the pain will go away... Just asking for their opinion would be a good idea."

In just a few hours, I regained the quality of life I thought I would never have again...

"After visiting different specialists in search of a good diagnosis, having been unable to sit for over a month, taking anti-inflammatories and painkillers, we went to the doctor's office.

The doctor evaluated the imaging tests provided, gave us a clear and accurate diagnosis (L3-L4 herniated disc), performed a masterful surgical intervention and facilitated a good and quick recovery.

My elderly father recovered the quality of life he thought he would never have again in just a few hours. Great professional. You couldn't ask for anything more. Thank you very much Dr. for the good work and attention received by you and your team. "

Today is exactly one month since my surgery. I feel fantastically well.

"While in another hospital they have been putting me off for a year and a half, with unbearable pain, Dr. Covaro, on the first visit, told me, I have to have surgery.

Today is exactly a month since the surgery. I feel fantastically well.

Professionalism, speed, humane treatment
Thank you very much
"

    Currently, endoscopic spinal surgery in Barcelona achieves the objective of widening the central canal, using an ultra-minimally invasive technique.